TRÁM RĂNG THẨM MỸ - CÔNG NGHỆ PHỤC HÌNH RĂNG HIỆN ĐẠI, NHANH CHÓNG
Trám răng thẩm mỹ phương pháp nha khoa phục hình răng bị tổn thương nhẹ như mẻ, sứt, sâu đơn giản và nhanh chóng trả lại cho bạn hàm răng đều đẹp, tự nhiên như lúc ban đầu. Tìm hiểu bài chia sẻ để biết được thông tin chi tiết hơn về trám răng là gì, quy trình trám răng như thế nào, mức giá trám răng ra sao…

TRÁM RĂNG THẨM MỸ LÀ GÌ?
Trám răng thẩm mỹ là một trong những phương pháp nha khoa phục hình răng khá phổ biến hiện nay nhằm khôi phục lại chức năng ăn nhai và vẻ bề ngoài của những chiếc răng bị sâu, mẻ hay bị vỡ về trạng thái ban đầu như những chiếc răng tự nhiên. Tùy thuộc vào tình trạng răng của bạn mà bác sĩ sẽ đưa ra phương pháp trám răng thích hợp.
CÁC LOẠI VẬT LIỆU TRÁM RĂNG
Trên thị trường nha khoa có 2 loại vật liệu chủ yếu là Amangam và Composite:
- Amangam: một loại vật liệu được sử dụng từ khá lâu đời, chất liệu được làm từ hỗn hợp của các phân tử kim loại như thủy ngân, đồng, kẽm, bạc… Vật liệu này có mức giá khá rẻ và chịu lực khá tốt nên thường được dùng ở những lỗ trám to hặc nơi cần chịu áp lực lớn như bề mặt nhai của răng hàm. Tuy nhiên, loại vật liệu này có màu xám bác nên tính thẩm mỹ không cao, hơn nữa còn có khả năng dẫn điện nên ảnh hưởng tới cảm giác của người bệnh khi ăn đồ ăn nóng, lạnh.
- Composite: Là loại vật liệu trám răng mới, được sử dụng rộng rãi hiện nay bởi tính thẩm mỹ cao, có nhiều màu sắc khác nhau phù hợp với màu răng thật. Độ cứng và lực chịu của vật liệu composite cũng rất tốt, thích hợp trám ở cả bề mặt răng hàm và răng cửa. Tuy nhiên nhược điểm của loại vật liệu này là khá dễ bong bật khi nhai thức ăn cứng, dai.

ĐỐI TƯỢNG TRÁM RĂNG
Phương pháp làm răng thẩm mỹ khá phổ biến tuy nhiên không phải đối tượng nào cũng thích hợp với phương pháp này. Cụ thể:
- Sâu răng: Trám răng thẩm mỹ thích hợp với đối tượng bị sâu răng ở mức độ nhẹ, với phương pháp này bác sĩ nha khoa sẽ sử dụng vật liệu trám chuyên biệt để bịt những lỗ sâu răng lại, ngăn chặn không cho vi khuẩn hoặc thức ăn xâm nhập vào bên trong lỗ sâu.
- Răng bị mài mòn: Nguyên nhân gây ra tình trạng răng bị mài mòn có thể do nghiến răng, đánh răng sai cách, chải răng quá mạnh, sử dụng bàn chải đánh răng kém chất lượng làm lớp men răng bên ngoài bị bào mòn, bị lộ lớp ngà răng và bị nhảy cảm khi ăn nhai thức ăn nóng quá hoặc lạnh quá.
- Răng bị gãy, mẻ: Trong đời sống thường ngày có thể bạn sẽ gặp phải các tình huống như tai nạn, ngã, va chạm mạnh ở vùng miệng dẫn tới gãy răng, mẻ răng.
- Trám răng phòng ngừa: Đối tượng trám răng phòng ngừa chủ yếu là trẻ em, nguyên nhân là do các răng cối của các bé có trũng sâu dễ bị nhét thưucs ăn vào đó nên bác sĩ sẽ thực hiện trám lấp đầy trũng đó để ngăn ngừa sâu răng.
LỢI ÍCH CỦA PHƯƠNG PHÁP TRÁM RĂNG THẨM MỸ
Tại nha khoa Quốc Tế Bắc Việ táp dụng phương pháp trám răng thẩm mỹ hiện đại khắc phục tối đa những khuyết điểm trên răng một cách nhanh chóng và hiệu quả. Những lợi ích mà trám răng thẩm mỹ đem lại cho khách hàng dưới đây sẽ giúp bạn hiểu rõ hơn:
- Công nghệ trám răng hiện đại giúp tương thích tối đa bề mặt trám với vật liệu sử dụng để trám răng, đảm bảo không lộ, hoàn thiện chức năng ăn nhai
- Hạn chế xâm lấn, mài cùi răng thật, không làm thay đổi hình thái răng thật, không tác động đến xương hàm
- Tạo hình miếng trám vừa khít, không có khe hở, không bong bật, chịu lực tốt, không gây ê buốt khi ăn nhai
- Trả lại cho hàm răng của bạn vẻ đẹp tự nhiên, đảm bảo chức năng ăn nhai và tính thẩm mỹ tối đa

QUY TRÌNH TRÁM RĂNG THẨM MỸ TIÊU CHUẨN
Quy trình trám răng thẩm mỹ được thực hiện theo chuẩn của Bộ y tế, công nghệ chuyển giao từ các nước tân tiến, hiện đại là một trong những yếu tố tác động đến hiệu quả trám răng rất nhiều. Tại nha khoa Quốc Tế Bắc Việt các bước trám răng được thực hiện như sau:
1. Thăm khám tổng quát và tư vấn
Trước tiên khách hàng sẽ được khám tổng thể sức khỏe răng miệng, nếu như phát hiện các bệnh lý như sâu răng, hỏng tủy răng thì cần điều trị trước khi trám răng vĩnh viễn. Trong quá trình này để tránh tình trạng viêm nhiễm sau khi hàn trám bác sĩ sẽ tiến hành vệ sinh răng miệng trước.
2. Tạo hình và gán chất trám
Với dụng cụ chuyên dụng bác sĩ sẽ đưa vật liệu trám đến vị trí răng cần trám và tạo hình miếng trám se khít với khe thưa, phần răng bị mẻ hay răng sâu trả lại hình thể răng như trạng thái ban đầu. Thao tác này khá đơn giản tuy nhiên bác sĩ cần tỉ mỉ để miếng trám vừa khít với lỗ hổng đem lại vẻ đẹp tự nhiên.
3. Chiếu đèn laser hóa cứng vật liệu trám
Chiếu đèn laser để hóa cứng vật liệu trám răng, quá trình hàn trám răng sâu chỉ thành công khi hình dáng, thể tích miếng trám duy trì y như lúc trước khi chiếu đèn, không có kẽ hở hay lỗ hổng nào.
4. Hoàn tất quá trình trám răng thẩm mỹ
Hoàn tất quá trình hàn trám răng sâu bác sĩ hẹn lịch tái khám sẽ hướng dẫn khách hàng vệ sinh răng miệng tại nhà để đảm bảo miếng trám được bền chắc nhất.
GIÁ TRÁM RĂNG THẨM MỸ BAO NHIÊU TIỀN
Bạn có thắc mắc giá trám răng thẩm mỹ tại mỗi phòng khám nha khoa tại sao lại khác nhau? Nguyên nhân có sự khác biệt này là do giá trám răng bao nhiêu tiền phụ thuộc vào nhiều yếu tố khác nhau, cụ thể như sau:
- Trám răng bao nhiêu tiền phụ thuộc vào mức độ tổn thương của răng: Răng bị sâu nhẹ, sâu nặng, vết mẻ lớn hay nhỏ, khe thưa có kích thước to nhỏ như thế nào chính là yếu tố quyết định mức chi phí trám răng.
- Trám răng hết bao nhiêu tiền phụ thuộc vào vật liệu sử dụng để trám răng: Tùy thuộc vào nhu cầu sử dụng và điều kiện kinh tế của khách hàng bác sĩ sẽ đưa ra các lựa chọn vật liệu trám khác nhau để khách hàng lựa chọn cho phù hợp. Các vật liệu trám chủ yếu sẽ là Composite, Amalgam hay sứ, kim loại quý hiếm.
- Yếu tố khác: Công nghệ trám răng sâu, cơ sở vật chất tại phòng khám cũng là một trong những yếu tố tác động đến chi phí trám răng. Bên cạnh đó nhiều phòng khám có bác sĩ tay nghề cao, bệnh nhân muốn chỉ định bác sĩ thực hiện ca trám răng thì có thể chi phí cũng sẽ cao hơn bình thường.
Tại nha khoa Quốc Tế Bắc Việt có đội ngũ bác sĩ chuyên khoa tay nghề cao, tâm huyết với nghề, cơ sở vật chất được đầu tư chuẩn 5 sao, công nghệ làm răng thẩm mỹ hiện đại, tiên tiến. Tuy nhiên mức giá trám răng thẩm mỹ hoàn toàn phải chăng, phù hợp với nhu cầu sử dụng và túi tiền của nhiều người. Bạn có thể hoàn toàn yên tâm khi có nhu cầu sử dụng dịch vụ trám răng thẩm mỹ ở đây.
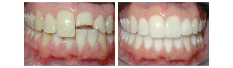
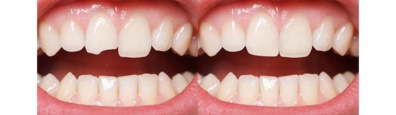
HÌNH ẢNH TRƯỚC VÀ SAU KHI HÀN TRÁM RĂNG TẠI NHA KHOA QUỐC TẾ BẮC VIỆT





Mọi thông tin chi tiết về trám răng thẩm mỹ bạn có thể tìm hiểu thêm tại website hoặc liên hệ trực tiếp tới phòng khám qua hotline: 0913.03.03.28 để được cung cấp chia sẻ thêm các vấn đề giá trám răng bao nhiêu hay những đối tượng nào phải trám răng…