Hàn răng là một phương pháp khá đơn giản, được thực hiện vô cùng dễ dàng nhưng lại đem đến hiệu quả cao cho những trường hợp răng sâu, răng thưa, sứt, mẻ. Tuy là một kỹ thuật đơn giản nhưng nếu hàn răng không tuân thủ theo quy trình chuẩn sẽ có thể ảnh hưởng tới hiệu quả hàn trám.

HÀN RĂNG LÀ GÌ?
Hàn răng được hiểu một cách đơn giản là việc nha sĩ dùng một loại vật liệu nha khoa đặc biệt nhằm giúp khôi phục lại hình dáng và chức năng của răng. Hàn trám răng là phương pháp phục hình nha khoa đơn giản tuy nhiên cần được thực hiện cẩn thận và tiến hành và tuân thủ theo quy trình chuẩn.
TRƯỜNG HỢP NÀO NÊN HÀN TRÁM RĂNG THẨM MỸ
Là phương pháp đơn giản, dễ thực hiện nên hàn răng thường được chỉ định trong rất nhiều trường hợp khác nhau như:
- Răng bị sâu: Hàn răng sẽ giúp trám bít lại những lỗ sâu, giúp ngăn chặn vi khuẩn cũng như những tác nhân bên ngoài xâm nhập vào và tấn công răng.
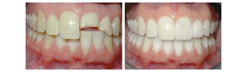
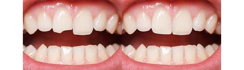
- Răng thưa, sứt, mẻ: Hàn răng không chỉ giúp khôi phục lại hình dáng, chức năng ban đầu của răng mà còn đem lại hiệu quả thẩm mỹ vô cùng to lớn.
- Răng bị mòn: Men răng có thể bị tổn thương, hao mòn trong những trường hợp như đánh răng quá mạnh, dùng bàn chải quá cứng… Khi men răng bị mòn sẽ dẫn đến tình trạng là ngà răng bị lộ ra ngoài, khiến răng bị nhạy cảm, khiến răng bị tổn thương, ê buốt. Hàn răng sẽ là biện pháp được chỉ định trong trường hợp này.
- Răng bị ố vàng, mất thẩm mỹ: Có thể sử dụng chất hàn màu trắng để bao phủ bề mặt răng, khiến răng trở nên trắng đẹp hơn.


QUY TRÌNH HÀN RĂNG TIÊU CHUẨN BỘ Y TẾ
Quy trình hàn răng tiêu chuẩn được diễn ra theo các bước như sau:
- Thăm khám, tư vấn: Bác sĩ sẽ tiến hành thăm khám tổng quát răng miệng để đánh giá tình hình, xác định vị trí răng cần hàn.
- Gây tê: Với một số trường hợp, ví trí răng nhất định cần thiết, nha sĩ sẽ tiến hành gây tê tại chỗ để khách hàng không cảm thấy bất kì sự khó chịu hay ê buốt nào.
- Làm sạch vùng răng cần hàn: Trong trường hợp hàn răng sâu, thì vùng sâu sẽ được nạo sạch.
- Hàn răng: Nha sĩ sẽ dùng vật liệu hàn răng, tiến hành hàn/trám vùng răng cần điều trị.
HÌNH ẢNH TRƯỚC VÀ SAU KHI HÀN TRÁM RĂNG TẠI NHA KHOA QUỐC TẾ BẮC VIỆT





Tuy không phải là phương pháp phức tạp tuy nhiên, bạn cũng nên chọn cho mình nha khoa uy tín và bác sĩ thực hiện có tay nghề cao để vết hàn trám cứng, chắc, cho hiệu quả lâu dài. Để tìm hiểu thêm thông tin về phương pháp hàn trám răng thẩm mỹ hay các dịch vụ nha khoa khác hãy liên hệ với chúng tôi để được tư vấn giải đáp.
